Welcome to Vyshnavi Dental Hospital, where we make smiles shine brighter! Our Kids Dentistry services cater to the unique dental needs of your little ones in a fun and gentle manner. With a child-friendly environment and experienced pediatric dentists, we ensure a positive dental experience. From preventive care and dental check-ups to cavity treatments and orthodontic evaluations, we prioritize your child's oral health. Trust us to provide exceptional care for your kids, creating a foundation for a lifetime of healthy smiles!
Welcome to Vyshnavi Dental Hospital, your destination for top-notch Full Mouth Implantation services. Our expert team of dental specialists is committed to restoring your smile and oral health with precision and care. Using state-of-the-art technology and advanced techniques, we provide comprehensive full mouth implant solutions that are tailored to your unique needs. Experience the confidence and joy of a complete, functional smile once again. Trust Vyshnavi Dental Hospital for exceptional results in just a few visits. Your smile transformation starts here!
Welcome to Vyshnavi Dental Hospital, where we specialize in providing exceptional root canal treatments! Our skilled team of dentists utilizes the latest technology and gentle techniques to alleviate pain and save your natural tooth. With a focus on patient comfort and safety, we ensure a stress-free experience. Trust us to restore your smile's health and functionality with our top-notch root canal treatment. Say goodbye to dental pain and hello to a brighter, healthier smile at Vyshnavi Dental Hospital!
Welcome to Vyshnavi Dental Hospital, your one-stop destination for exceptional dental crowns and bridges! Our skilled team of experienced dentists is committed to providing you with the highest quality dental restorations for a beautiful and confident smile. Whether you need to restore a damaged tooth with a crown or bridge a gap between missing teeth, we use cutting-edge technology and premium materials to ensure long-lasting results. Trust us to deliver personalized care and top-notch services to restore your dental health and enhance your appearance. Discover the joy of a perfect smile at Vyshnavi Dental Hospital today!
Welcome to Vyshnavi Dental Hospital, where we revolutionize smiles with Composite Filling! Our advanced dental technology ensures painless and precise cavity restoration. Bid farewell to traditional metal fillings as our skilled dentists utilize cutting-edge gently remove decay and seamlessly bond tooth-colored composite for a natural look. Experience quick healing, durability, and enhanced aesthetics. Trust Vyshnavi Dental Hospital for unmatched oral care and a brighter, healthier smile.
Welcome to Vyshnavi Dental Hospital, your premier destination for safe and comfortable wisdom teeth removal. Our experienced team of dental experts is committed to providing top-notch care and ensuring a smooth procedure. From initial consultation to post-operative care, we prioritize your well-being and make your comfort our priority. Trust us to handle your wisdom teeth removal with precision and compassion. Discover a painless and hassle-free experience at Vyshnavi Dental Hospital. Smile with confidence; book your appointment today!
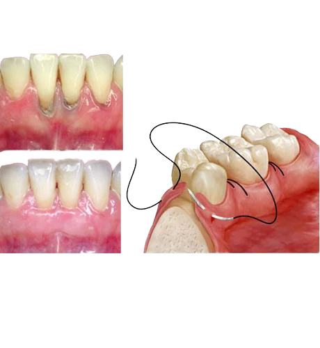
Welcome to Vyshnavi Dental Hospital, your destination for top-notch Teeth & Gum Treatment. Our expert team of experienced dentists is dedicated to providing comprehensive care, from preventive measures to advanced procedures. Whether it's routine check-ups, teeth cleaning, gum disease management, or specialized treatments like dental implants, we prioritize your comfort and well-being. With state-of-the-art technology and a patient-centric approach, we ensure you leave with a confident smile. Trust us for personalized care and exceptional results. Your dental health is our priority!
Welcome to Vyshnavi Dental Hospital, your one-stop destination for top-notch teeth cleaning and polishing services. Our expert team of dental hygienists ensures a thorough and gentle cleaning, removing plaque, tartar, and stains, leaving your teeth sparkling and healthy. Using state-of-the-art technology, we guarantee a comfortable and painless experience. Achieve a radiant smile and optimal oral health with our specialized teeth cleaning and polishing services at Vyshnavi Dental Hospital. Book your appointment now for a brighter, confident smile!
Welcome to Vyshnavi Dental Hospital, your destination for Invisible Braces Treatment! Say goodbye to traditional metal braces and embrace the future of orthodontics. Our cutting-edge invisible braces offer a discreet and comfortable alternative to straighten your teeth. With our expert team of orthodontists, state-of-the-art technology, and personalized treatment plans, achieving a confident smile has never been easier. Experience the transformation without compromising your aesthetics. Book your consultation now for a perfect smile journey!
Welcome to Vyshnavi Dental Hospital, your one-stop destination for top-quality teeth braces, clips, and aligners! Achieve your dream smile with our expert orthodontic solutions. Our experienced team of dentists will guide you through the process, ensuring comfort and efficiency throughout your treatment. Whether you need traditional braces for complex cases or discreet aligners for a subtle approach, we've got you covered. Embrace the journey to a perfect smile with Vyshnavi Dental Hospital today!